Dr. Ansari removes mercury amalgams in a safe manner, ensuring the least amount of mercury re-enters your body during the mercury removal process.

We follow the strictest IAOMT (International Academy of Oral Medicine and Toxicology) protocol for reduction of mercury exposure and have additional options of:





"Amalgam, or 'Silver Fillings', as they are widely known, contain as much or more mercury than any other component. Mercury is a heavy metal toxin that is widely known to contribute to chronic neurodegenerative diseases. We have adopted the ‘safe amalgam’ removal protocol from the International Academy of Oral Medicine and Toxicology to not only remove the mercury from your teeth, but also prevent it from entering your body via lungs, gut, mucosa. We also provide nutritional supplements prior to your amalgam removals and replacement with safe, tooth colored, resin based filling materials or ceramics as is appropriate."
—Dr. Ansari

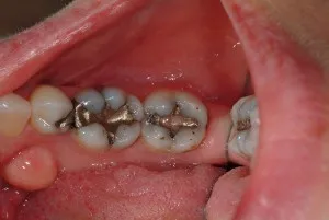
20 year old amalgam (silver/mercury) restorations that appear in tact and are not causing pain or discomfort.

Teeth are isolated w/ a non latex barrier as part of our protocol to reduce or eliminate the exposure to mercury dust and vapors created in removal.
Once the amalgam is safely removed from the tooth, the underlying dark decay is evident. This is then removed and disinfected prior to restoration of the tooth.

Insuffulation of the cavity preparation and dentinal tubules with ozone gas to desensitize and disinfect the tooth surface prior to bonding a new metal free restoration.

Photopolymerization of the resin material to bond to the tooth, and harden.

Teeth restored, decay removed, dentin disinfected. Molar with remaining amalgam restoration has ‘crack’ and too large a ‘filling’ so it will receive a porcelain crown.

What is SMART?
SMART is the Safe Mercury Amalgam Removal Technique, which is a set of safety measures to reduce mercury exposures during dental amalgam filling removal. These safety measures were developed as a result of scientific research collected by the International Academy of Oral Medicine and Toxicology (IAOMT).
Why does SMART matter?
All dental amalgams, also referred to as silver fillings, contain 50% mercury (a neurotoxin) which is constantly released in the form of an invisible vapor. The process of drilling out amalgam fillings releases even higher quantities of mercury vapor and fine particulates that can be inhaled and absorbed through the lungs. This is potentially harmful to patients, dentists, other dental workers, and the fetuses of patients and all dental personnel.
Which dentists are SMART certified?
Dentists who have obtained SMART certification from the IAOMT have completed coursework related to mercury and the safe removal of amalgam fillings. The educational programming includes learning about the application of the rigorous safety measures, including the utilization of specific equipment. To maintain SMART certification, your dentist enrolls in the program annually to review the safety measures.
Where can I learn more about SMART?
Visit www.thesmartchoice.com to learn more.
“I decided I wanted to go more holistic with my dental care. I wanted to get my mercury amalgams removed, but I knew that it needed to be done by a holistic dentist who knew exactly what he was doing when it comes to removing toxic mercury from my mouth. I am so very pleased with the excellent care I have received since starting with Dr. Ansari a few months ago. He, along with his wonderful, caring and kind staff are the best!!”