
Missing teeth, spaces, and disproportionate sizes between existing teeth are all ‘masked’ with veeners. This treatment does have a more limited application and longevity, but offers an immediate improvement and beautiful smile option.
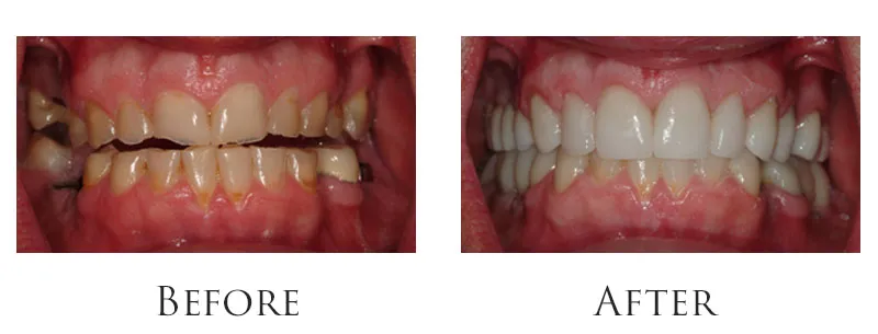
Many smiles can be improved or made nearly perfect with the popular cosmetic treatment of porcelain veneers. This can best be likened to the process of applying ‘fake fingernails’ to teeth, yet in a lasting and durable manner. Porcelain veneers are custom facings that are bonded to the front surfaces of teeth to whiten, straighten, or repair teeth. They can also be used to close unwanted spaces between the teeth.
The most pleasing and perfect smiles you see on TV and magazine covers are often dentist created smiles rather than natural enamel!
Not all veneer applications are equal in terms of beauty and deception of their natural appearance. Just as one artist or painter isn’t as accomplished as another, the background and experience of the cosmetic dentist makes a real difference in appearance.
When Dr. Ansari makes porcelain veneers, he not only addresses the natural color and shade of the surrounding teeth, but also the gum or gingival architectural and how that enhances the tooth appearance for your overall smile enhancement.

After an initial consultation, your teeth are matched by color and shade. A separate appointment is then scheduled to apply the veneers to your teeth.
No, while the veneers are only about 1 millimeter thick, this same amount is removed from your teeth before applying the veneer in order to keep the same thickness.
The price of veneers varies by the number of teeth being treated. Contact the office at 317-882-0228 to schedule an initial examination for a quote.
We are located just north of Greenwood, Indiana on US 31 just south of Southport Road in Indianapolis. Need directions?